Parodontitis
Deze tekst stond op de oude website, maar is nog steeds relevant! Het gaat over parodontitis: als je lichaam je tanden en kiezen niet meer wil hebben..
Rémy Hurx
8 feb 2026
Parodontitis
Feiten tav parodontitis
Wist je dat:
…parodontitis één van de meest voorkomende chronische aandoeningen ter wereld is?
…je lichaam bij parodontitis zelf bot afbreekt rondom de tand als reactie op de ontsteking?
…veel mensen geen pijn ervaren bij parodontitis, en het dus vaak ongemerkt erger wordt?
…rokers tot wel vier keer meer kans hebben op parodontitis dan niet-rokers?
…goede mondhygiëne soms net zo effectief is als antibiotica bij milde parodontitis?
…er een verband bestaat tussen parodontitis en hart- en vaatziekten?
…een gezonde mond je kans op een gezonde zwangerschap verhoogt?
…tandsteen eigenlijk verkalkte plaque is die je zelf niet meer kunt wegpoetsen?
…parodontitis ook voorkomt bij jongvolwassenen, vooral als het in de familie zit?
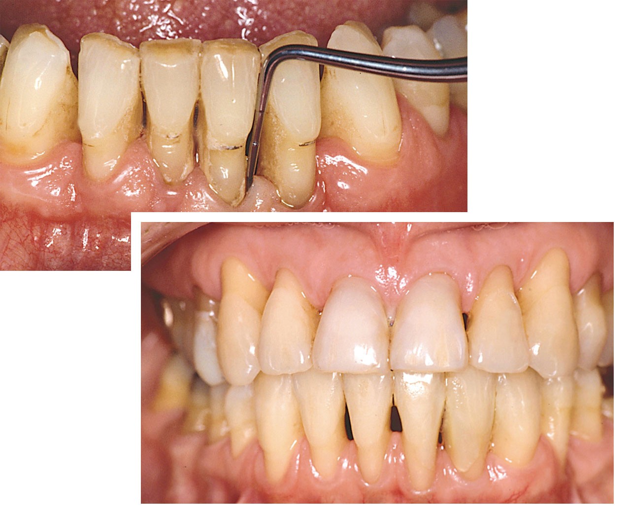
Parodontitis is een chronische tandvleesaandoening waarbij het steunweefsel van je tanden (het tandvlees en kaakbot) ontstekingen vertoont. Zonder behandeling kan dit leiden tot loszittende tanden of zelfs tandverlies.

Hoe ontstaat het?
Parodontitis ontstaat meestal geleidelijk uit ontstoken tandvlees (gingivitis). De belangrijkste oorzaak is plaque: een dun, kleverig laagje bacteriën op je tanden. Als plaque niet goed wordt verwijderd, kan het onder het tandvlees terechtkomen en een diepere ontsteking veroorzaken.
Symptomen
Rood, gezwollen of bloedend tandvlees
Slechte adem (halitose)
Terugtrekkend tandvlees
Loszittende tanden of kiezen
Gevoelig tandvlees of pijn bij het poetsen
Let op: parodontitis doet vaak geen pijn in het begin.

Behandeling
De tandarts of mondhygiënist zal:
Diepe reiniging onder het tandvlees uitvoeren (scaling en root planing)
Instructies geven voor goede mondhygiëne thuis
Indien nodig een parodontologisch behandeltraject opstarten
Bij ernstige vormen kan doorverwijzing naar een parodontoloog volgen.
Wat kun je zelf doen?
2× per dag poetsen (liefst elektrisch)
Dagelijks interdentaal reinigen (ragers, tandenstokers of floss)
Regelmatig op controle komen
Stoppen met roken: roken verhoogt het risico sterk!
Waarom is behandeling belangrijk?
Parodontitis heeft niet alleen gevolgen voor je gebit. Er is ook een verband met algemene gezondheid, zoals:
Hart- en vaatziekten
Diabetes
Zwangerschapscomplicaties
Vroegtijdige behandeling helpt schade te beperken.
Blog





