Restauratieve Tandheelkunde
Herstel de kracht en functie van je gebit met hoogwaardige vullingen en duurzaam kroonwerk.



Restauratieve tandheelkunde
Wanneer tanden beschadigd zijn door gaatjes of slijtage, helpt restauratieve tandheelkunde ze te herstellen. Ons doel is om de structuur van je tanden te herbouwen terwijl we een volledig natuurlijk uiterlijk behouden.
Wat we kunnen doen:
Composietvullingen (tandkleurig)
Duurzame porseleinen/zirconia kronen
Bruggen en inlays
Composietvullingen (tandkleurig)
Duurzame porseleinen/zirconia kronen
Bruggen en inlays
Composietvullingen
Composietvullingen zijn tandkleurige vullingen, gemaakt van een composiet van kunststof en kwartsglas. Hierdoor krijgt het stevigheid en is het smeuïg genoeg om in te kunnen brengen.
Normaliter gaat een vulling zo'n 10-12 jaar mee. Het is belangrijk dat er voldoende hechtvlak aanwezig is, anders zijn kronen beter geïndiceerd.

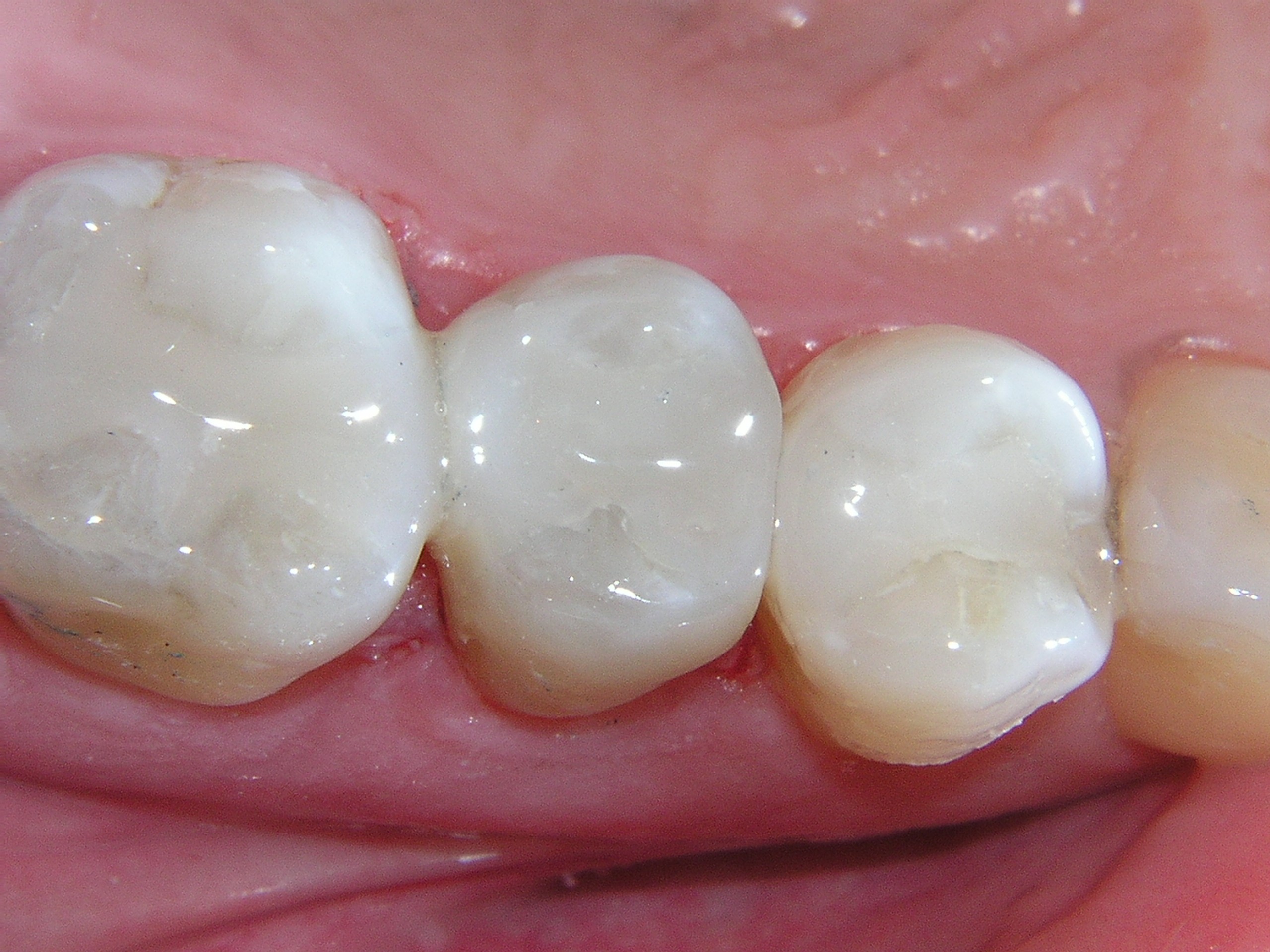
Kronen
Kronen zijn een soort hulzen, op maat gemaakt, die enorme stevigheid teruggeven aan tanden en kiezen die te fors gevuld of beschadigd zijn. Ze gaan lang mee, 20-25 jaar is normaliter haalbaar. De prijs ligt hoger, tussen de 600-800 euro, afhankelijk van de gebruikte materialen.
Vroeger was de basis van een kroon goud, tegenwoordig tandkleurig zirconia. Zirconia wordt gefreesd uit een soort puck en langer dan 4 uur gesinterd.
Vervolgens wordt de kroon verlijmd aan de tand/kies.

Het plaatje toont een ongesinterde kroon en na sinteren/inkleuren/glanzen.
Bruggen en inlays/onlays
Bruggen zijn gekoppelde kronen om een missende tand of kies te vervangen. Tandarts Hurx vindt ze eigenlijk niet meer van deze tijd, omdat implantaten bijna twee keer zo lang mee gaan, zonder buurtanden te beschadigen. Sommige mensen willen geen implantaat, dan kan een brug toch een goede oplossing zijn.

Een inlay/onlay is een partiële kroon: praktisch gezien een luxe vulling van zirconia. Ze zijn ook aanmerkelijk duurder dan vullingen.
Composietvullingen
Composietvullingen zijn tandkleurige vullingen, gemaakt van een composiet van kunststof en kwartsglas. Hierdoor krijgt het stevigheid en is het smeuïg genoeg om in te kunnen brengen.
Normaliter gaat een vulling zo'n 10-12 jaar mee. Het is belangrijk dat er voldoende hechtvlak aanwezig is, anders zijn kronen beter geïndiceerd.

Kronen
Kronen zijn een soort hulzen, op maat gemaakt, die enorme stevigheid teruggeven aan tanden en kiezen die te fors gevuld of beschadigd zijn. Ze gaan lang mee, 20-25 jaar is normaliter haalbaar. De prijs ligt hoger, tussen de 600-800 euro, afhankelijk van de gebruikte materialen.
Vroeger was de basis van een kroon goud, tegenwoordig tandkleurig zirconia. Zirconia wordt gefreesd uit een soort puck en langer dan 4 uur gesinterd.
Vervolgens wordt de kroon verlijmd aan de tand/kies.

Het plaatje toont een ongesinterde kroon en na sinteren/inkleuren/glanzen.
Bruggen en inlays/onlays
Bruggen zijn gekoppelde kronen om een missende tand of kies te vervangen. Tandarts Hurx vindt ze eigenlijk niet meer van deze tijd, omdat implantaten bijna twee keer zo lang mee gaan, zonder buurtanden te beschadigen. Sommige mensen willen geen implantaat, dan kan een brug toch een goede oplossing zijn.

Een inlay/onlay is een partiële kroon: praktisch gezien een luxe vulling van zirconia. Ze zijn ook aanmerkelijk duurder dan vullingen.
Onze diensten
