Kinderkronen
Een kindvriendelijke manier om gaatjes in melkkiezen effectief te behandelen zonder boren of verdoven.

Bij kinderen is een positieve ervaring bij de tandarts essentieel voor hun verdere leven. De Hall-techniek is een innovatieve en internationaal erkende methode waarbij een metalen kroontje over een melkkies met een gaatje wordt geplaatst. Hierdoor wordt het gaatje luchtdicht afgesloten en stopt het proces, zonder dat er geboord of verdoofd hoeft te worden. Het is een snelle, pijnloze manier om de melkkies te behouden tot deze op natuurlijke wijze wisselt.
Wat we kunnen doen:
RVS-kinderkronen
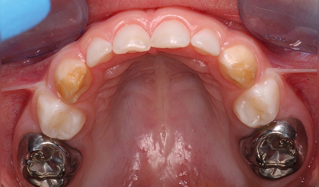
Kinderkronen / HALL-kronen
De Hall-techniek is een kindvriendelijke manier om gaatjes in melkkiezen te behandelen. In plaats van te boren, plaatsen we een roestvrijstalen kroontje over de aangetaste kies. Hierdoor wordt de bacterie afgesloten van voeding en stopt het proces van tandbederf direct.
Voordeel: Er hoeft niet geboord of verdoofd te worden, wat de behandeling veel minder spannend maakt voor het kind.
Resultaat: De kies blijft behouden totdat deze op natuurlijke wijze uitvalt. Alleen melktanden worden behandeld.
Wij geven ze vaak de naam: piratenkroon of prinsessenkroon.

Hoe werkt het?
We doen meestal maar een kroon per keer, we hebben hier de beste ervaring mee. We hebben twee zittingen nodig:
Plaatsen stiekjes naast de kies, 5 min werk.
Passen en plaatsen kinderkroon. Ook een korte ronde, 5-20 min max, 2 dagen na de stiekjes.
De behandeling is pijnloos, wel voelt het kind een klein beetje druk. De meeste HALL-kronen blijven zitten tot het wisselmoment. (9-11 jaar).

Kosten
HALL-kronen worden betaald door de verzekeraar, vanuit de basisverzekering.
Onze diensten
