Implantologie
Vervang ontbrekende tanden permanent met duurzame implantaten die aanvoelen en functioneren als je eigen tanden.



Implantologie
Het verliezen van een tand hoeft niet te betekenen dat je je glimlach verliest. Tandheelkundige implantaten bieden een permanente, stevige oplossing voor ontbrekende tanden, waarbij zowel de esthetiek van je gezicht als de volledige kauwfunctie worden hersteld.
Wat we kunnen doen:
Enkelvoudige implantaten
Socket-preservation en botopbouw procedures
Enkelvoudige implantaten
Socket-preservation en botopbouw procedures
Waarom kiezen voor implantaten?
Een stralende lach en zorgeloos kunnen eten zijn niet voor iedereen vanzelfsprekend. Als je één of meerdere tanden of kiezen mist, kunnen implantaten de ideale oplossing zijn. Maar waarom zou je daarvoor kiezen in plaats van bijvoorbeeld een brug of een kunstgebit?

De voordelen op een rij:
Natuurlijk gevoel en uiterlijk: Een implantaat fungeert als een kunstwortel. Hierdoor voelt en ziet het resultaat eruit als je eigen tanden. Je kunt weer voluit lachen en praten zonder dat je bang hoeft te zijn dat er iets verschuift.
Behoud van je kaakbot: Wanneer een tand ontbreekt, kan het kaakbot op die plek gaan slinken. Een implantaat stimuleert het bot, waardoor je gezichtscontouren behouden blijven en je kaak stevig blijft.
Bescherming van gezonde tanden: Bij een traditionele brug moeten de omliggende gezonde tanden vaak worden geslepen. Bij een implantaat laten we je andere tanden volledig met rust.
Een duurzame investering: Met de juiste zorg en mondhygiëne kunnen implantaten een leven lang meegaan. Het is een duurzame oplossing voor een langdurig probleem.
Wist je dat? De behandeling veel minder spannend is dan de meeste mensen denken. Dankzij moderne technieken en goede verdoving is de ingreep vrijwel pijnloos en is het herstel vaak voorspoedig.
Onze Procedure: Comfortabel en Efficiënt
Bij ons geloven we dat een implantaatbehandeling zo min mogelijk belastend moet zijn. Daarom maken wij gebruik van moderne technieken die afwijken van de traditionele methode.
1. Implanteren zonder snijden (Flapless)
In veel praktijken is het gebruikelijk om het tandvlees 'op te klappen' (open te snijden) om het bot bloot te leggen. Wij verkiezen, indien mogelijk, een techniek zonder snijden.
Het voordeel voor u: Omdat we niet snijden en hechten, is er aanzienlijk minder napijn, nauwelijks sprake van zwelling en verloopt het herstelproces vele malen sneller.

2. Directe plaatsing (Immediate Placement)
Wanneer een tand of kies niet meer te redden is, hoeft u bij ons niet maandenlang met een gat in uw gebit te lopen. Indien de kwaliteit van het bot en de omringende weefsels het toelaat, plaatsen wij het implantaat direct nadat de tand of kies is getrokken.
Het voordeel voor u: Dit bespaart u een extra chirurgische ingreep en verkort de totale behandeltijd aanzienlijk. U verlaat de praktijk sneller met het fundament voor uw nieuwe lach.

3. Guided Surgery (Computergestuurde planning)
Voor de meest nauwkeurige plaatsing maken wij gebruik van Guided Surgery. Hierbij combineren we een tandheelkundige CT-scan (CBCT) met een gedetailleerde digitale gebitsscan.
Digitale blauwdruk: We maken vooraf een volledige digitale planning van uw kaken. Hierdoor kunnen we het implantaat prothetisch gezien op de meest ideale plek plaatsen voor het mooiste eindresultaat.
Maximale veiligheid: Door de virtuele planning zien we exact waar belangrijke structuren, zoals zenuwen of de neusbijholte, zich bevinden. Deze kunnen we zo met uiterste precisie ontwijken.
Sneller en comfortabeler: Omdat we de route naar de perfecte plek al digitaal hebben uitgestippeld, duurt de eigenlijke ingreep aanzienlijk korter. Dit is wel zo prettig voor u en zorgt voor een nog vlotter herstel.

Samenvattend: Waarom deze aanpak?
Door de combinatie van Guided Surgery, de flapless techniek (zonder snijden) en directe plaatsing, bieden wij een behandeling die sneller, veiliger en minder belastend is dan de traditionele methode.
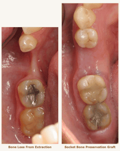
Behoud van uw kaakbot: Socket Preservation
Wanneer een tand of kies wordt getrokken, begint het lichaam op die plek natuurlijk kaakbot af te breken. Dit noemen we botresorptie. Om dit proces tegen te gaan en de fundering van uw gebit sterk te houden, passen wij Socket Preservation toe.

Waarom is dit belangrijk?
Zodra een wortel verdwijnt, verliest het omliggende bot zijn functie. Binnen enkele maanden kan de breedte en hoogte van uw kaak aanzienlijk afnemen. Dit kan nadelig zijn voor een toekomstig implantaat of de esthetiek van uw tandvlees.

Hoe werkt het?
Direct nadat de tand of kies is verwijderd, vullen we de achtergebleven holte (de socket) op met hoogwaardig botvervangend materiaal óf eigen materiaal.
Botbehoud: Het materiaal fungeert als een 'steiger' waar uw eigen lichaam nieuw bot tegenaan kan bouwen. Hierdoor blijft het volume van uw kaak behouden.
Optimale fundering: Door de vorm van de kaak intact te houden, creëren we de perfecte omstandigheden om op een later moment een implantaat te plaatsen.
Esthetisch resultaat: Het voorkomt dat het tandvlees op die plek 'invalt', wat zorgt voor een natuurlijker resultaat van de uiteindelijke kroon.
Onze visie: Door te investeren in Socket Preservation op de dag van de extractie, voorkomen we complexe en kostbare botopbouw-operaties in de toekomst. Het is een kleine stap met een groot resultaat voor de lange termijn.

Waarom kiezen voor implantaten?
Een stralende lach en zorgeloos kunnen eten zijn niet voor iedereen vanzelfsprekend. Als je één of meerdere tanden of kiezen mist, kunnen implantaten de ideale oplossing zijn. Maar waarom zou je daarvoor kiezen in plaats van bijvoorbeeld een brug of een kunstgebit?

De voordelen op een rij:
Natuurlijk gevoel en uiterlijk: Een implantaat fungeert als een kunstwortel. Hierdoor voelt en ziet het resultaat eruit als je eigen tanden. Je kunt weer voluit lachen en praten zonder dat je bang hoeft te zijn dat er iets verschuift.
Behoud van je kaakbot: Wanneer een tand ontbreekt, kan het kaakbot op die plek gaan slinken. Een implantaat stimuleert het bot, waardoor je gezichtscontouren behouden blijven en je kaak stevig blijft.
Bescherming van gezonde tanden: Bij een traditionele brug moeten de omliggende gezonde tanden vaak worden geslepen. Bij een implantaat laten we je andere tanden volledig met rust.
Een duurzame investering: Met de juiste zorg en mondhygiëne kunnen implantaten een leven lang meegaan. Het is een duurzame oplossing voor een langdurig probleem.
Wist je dat? De behandeling veel minder spannend is dan de meeste mensen denken. Dankzij moderne technieken en goede verdoving is de ingreep vrijwel pijnloos en is het herstel vaak voorspoedig.
Onze Procedure: Comfortabel en Efficiënt
Bij ons geloven we dat een implantaatbehandeling zo min mogelijk belastend moet zijn. Daarom maken wij gebruik van moderne technieken die afwijken van de traditionele methode.
1. Implanteren zonder snijden (Flapless)
In veel praktijken is het gebruikelijk om het tandvlees 'op te klappen' (open te snijden) om het bot bloot te leggen. Wij verkiezen, indien mogelijk, een techniek zonder snijden.
Het voordeel voor u: Omdat we niet snijden en hechten, is er aanzienlijk minder napijn, nauwelijks sprake van zwelling en verloopt het herstelproces vele malen sneller.

2. Directe plaatsing (Immediate Placement)
Wanneer een tand of kies niet meer te redden is, hoeft u bij ons niet maandenlang met een gat in uw gebit te lopen. Indien de kwaliteit van het bot en de omringende weefsels het toelaat, plaatsen wij het implantaat direct nadat de tand of kies is getrokken.
Het voordeel voor u: Dit bespaart u een extra chirurgische ingreep en verkort de totale behandeltijd aanzienlijk. U verlaat de praktijk sneller met het fundament voor uw nieuwe lach.

3. Guided Surgery (Computergestuurde planning)
Voor de meest nauwkeurige plaatsing maken wij gebruik van Guided Surgery. Hierbij combineren we een tandheelkundige CT-scan (CBCT) met een gedetailleerde digitale gebitsscan.
Digitale blauwdruk: We maken vooraf een volledige digitale planning van uw kaken. Hierdoor kunnen we het implantaat prothetisch gezien op de meest ideale plek plaatsen voor het mooiste eindresultaat.
Maximale veiligheid: Door de virtuele planning zien we exact waar belangrijke structuren, zoals zenuwen of de neusbijholte, zich bevinden. Deze kunnen we zo met uiterste precisie ontwijken.
Sneller en comfortabeler: Omdat we de route naar de perfecte plek al digitaal hebben uitgestippeld, duurt de eigenlijke ingreep aanzienlijk korter. Dit is wel zo prettig voor u en zorgt voor een nog vlotter herstel.

Samenvattend: Waarom deze aanpak?
Door de combinatie van Guided Surgery, de flapless techniek (zonder snijden) en directe plaatsing, bieden wij een behandeling die sneller, veiliger en minder belastend is dan de traditionele methode.
Behoud van uw kaakbot: Socket Preservation
Wanneer een tand of kies wordt getrokken, begint het lichaam op die plek natuurlijk kaakbot af te breken. Dit noemen we botresorptie. Om dit proces tegen te gaan en de fundering van uw gebit sterk te houden, passen wij Socket Preservation toe.

Waarom is dit belangrijk?
Zodra een wortel verdwijnt, verliest het omliggende bot zijn functie. Binnen enkele maanden kan de breedte en hoogte van uw kaak aanzienlijk afnemen. Dit kan nadelig zijn voor een toekomstig implantaat of de esthetiek van uw tandvlees.

Hoe werkt het?
Direct nadat de tand of kies is verwijderd, vullen we de achtergebleven holte (de socket) op met hoogwaardig botvervangend materiaal óf eigen materiaal.
Botbehoud: Het materiaal fungeert als een 'steiger' waar uw eigen lichaam nieuw bot tegenaan kan bouwen. Hierdoor blijft het volume van uw kaak behouden.
Optimale fundering: Door de vorm van de kaak intact te houden, creëren we de perfecte omstandigheden om op een later moment een implantaat te plaatsen.
Esthetisch resultaat: Het voorkomt dat het tandvlees op die plek 'invalt', wat zorgt voor een natuurlijker resultaat van de uiteindelijke kroon.
Onze visie: Door te investeren in Socket Preservation op de dag van de extractie, voorkomen we complexe en kostbare botopbouw-operaties in de toekomst. Het is een kleine stap met een groot resultaat voor de lange termijn.

Onze diensten
