
Preventieve Tandheelkunde
Houd je gebit gezond en voorkom problemen met regelmatige controles en professionele reiniging.



Onze preventieve zorg
Preventie is de basis van een leven lang een gezonde glimlach. Onze preventieve zorg richt zich op het herkennen van (potentiële) problemen voordat het echte klachten worden. Zo houden we je tanden en tandvlees in topconditie.
Wat we kunnen doen:
Regelmatige gebitscontrole (minstens 1x per jaar)
Professionele Gebitsreiniging
Fluoride Applicaties
Sealings bij jongeren
Regelmatige gebitscontrole (minstens 1x per jaar)
Professionele Gebitsreiniging
Fluoride Applicaties
Sealings bij jongeren
Periodieke Controle
Door minstens één keer per jaar je gebit te laten controleren (voor kinderen adviseren we twee keer), voorkom je grote ingrepen zoals wortelkanaalbehandelingen. Om ook "onzichtbare" problemen zoals beginnende gaatjes of botontsteking (parodontitis) op te sporen, maken we elke 3 tot 6 jaar een röntgenfoto.
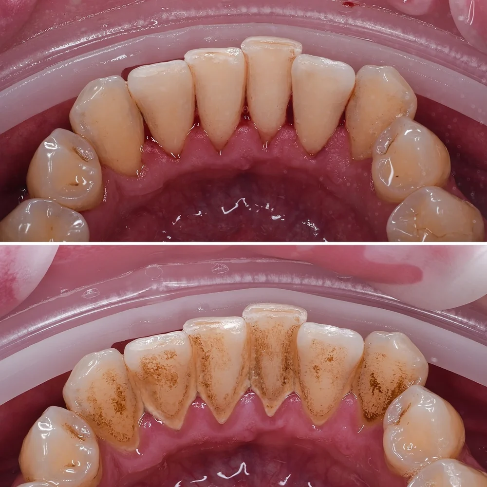
Professionele Gebitsreiniging
Tijdens de controle verwijderen we tandsteen handmatig of met een ultrasoon apparaat. Indien nodig kunnen we met een poederstraler of polijstpasta aanslag verwijderen voor een fris resultaat.
Waarom? Tandsteen is de hoofdoorzaak van parodontitis. Dit zorgt voor terugtrekkend tandvlees en kan er uiteindelijk toe leiden dat tanden los gaan staan.
Mondhygiënist: Bij gevorderde problemen raden we een behandeling bij de mondhygiënist aan. Dit is een investering in het behoud van je eigen tanden.

Fluoride: De beste bescherming voor de jeugd
Voor jongeren tussen 6 en 16 jaar bieden wij standaard fluoride-applicaties aan. Vooral bij doorkomende kiezen en tijdens het dragen van een beugel is dit bewezen effectief.
Onze visie: Wij zien dagelijks dat de huidige generatie gebitten in topconditie is dankzij fluoride. Ons advies: poets met fluoride-tandpasta, spuug de resten uit (niet naspoelen) en kies voor de periodieke applicatie.
Sealings
Een sealing beschermt de diepe groeven in kiezen — de plekken die het meest gevoelig zijn voor gaatjes. Dit beschermende laagje helpt tandplak buiten de deur te houden. Let wel: een sealing is een hulpmiddel, geen vervanging voor goed poetsen en een verstandig dieet met weinig frisdrank.


Periodieke Controle
Door minstens één keer per jaar je gebit te laten controleren (voor kinderen adviseren we twee keer), voorkom je grote ingrepen zoals wortelkanaalbehandelingen. Om ook "onzichtbare" problemen zoals beginnende gaatjes of botontsteking (parodontitis) op te sporen, maken we elke 3 tot 6 jaar een röntgenfoto.
Professionele Gebitsreiniging
Tijdens de controle verwijderen we tandsteen handmatig of met een ultrasoon apparaat. Indien nodig kunnen we met een poederstraler of polijstpasta aanslag verwijderen voor een fris resultaat.
Waarom? Tandsteen is de hoofdoorzaak van parodontitis. Dit zorgt voor terugtrekkend tandvlees en kan er uiteindelijk toe leiden dat tanden los gaan staan.
Mondhygiënist: Bij gevorderde problemen raden we een behandeling bij de mondhygiënist aan. Dit is een investering in het behoud van je eigen tanden.

Fluoride: De beste bescherming voor de jeugd
Voor jongeren tussen 6 en 16 jaar bieden wij standaard fluoride-applicaties aan. Vooral bij doorkomende kiezen en tijdens het dragen van een beugel is dit bewezen effectief.
Onze visie: Wij zien dagelijks dat de huidige generatie gebitten in topconditie is dankzij fluoride. Ons advies: poets met fluoride-tandpasta, spuug de resten uit (niet naspoelen) en kies voor de periodieke applicatie.
Sealings
Een sealing beschermt de diepe groeven in kiezen — de plekken die het meest gevoelig zijn voor gaatjes. Dit beschermende laagje helpt tandplak buiten de deur te houden. Let wel: een sealing is een hulpmiddel, geen vervanging voor goed poetsen en een verstandig dieet met weinig frisdrank.

Onze diensten
