
Kaakgewrichtsbehandelingen
Verhelp klachten door klemmen of knarsen en bescherm je gebit met gespecialiseerde spalktherapie.



Kaakpijn, hoofdpijn en tandslijtage worden vaak veroorzaakt door onbewust klemmen of knarsen. Onze behandelingen richten zich op het ontspannen van de kaakspieren en het beschermen van je gebit tegen verdere schade.
Wat we kunnen doen:
Nachtbeugels / Gebitssplinten
Diagnose van bruxisme (tandenknarsen)
Nachtbeugels / Gebitssplinten
Diagnose van bruxisme (tandenknarsen)
Klemmen & Knarsen: Als je gebit een boksbal wordt
Word je weleens wakker met een strak, vermoeid gevoel in je kaken? Heb je vaak hoofdpijn bij je slapen, nekpijn of merkt je partner dat je ’s nachts kabaal maakt met je tanden? Dan is de kans groot dat je aan het knarsen (bruxisme) of klemmen bent.
Je kaken behoren tot de sterkste spieren in je lichaam. Als die spieren 's nachts – of tijdens een stressvolle dag – de vrije loop krijgen, komt er een enorme kracht op je gebit te staan. Je tanden fungeren dan als een boksbal die de klappen moet opvangen.

De symptomen: Hoe herken je het?
Vaak heb je het zelf niet door totdat de schade zichtbaar wordt. Let op de volgende signalen:
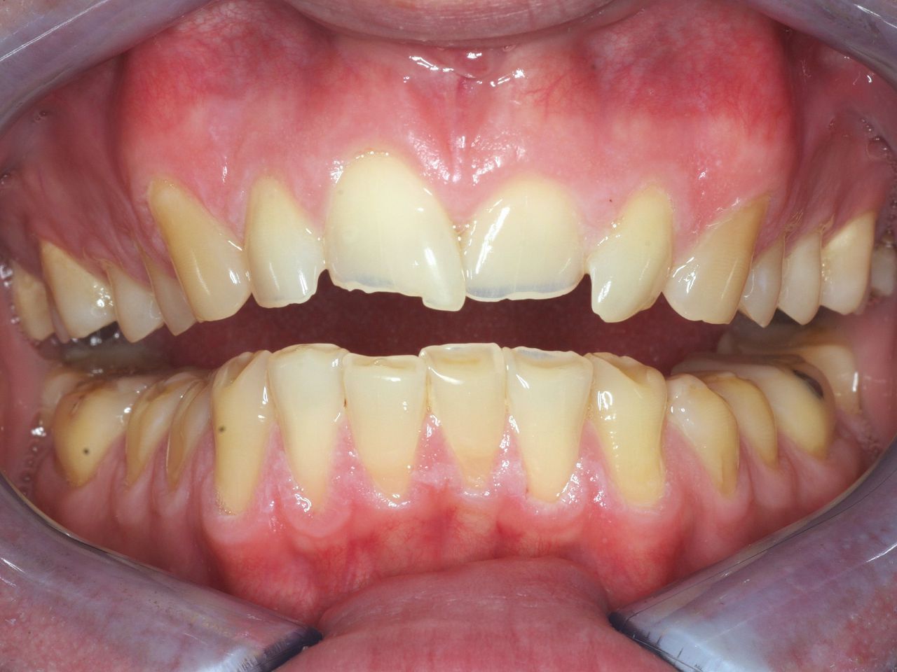
Slijtage: Je tanden worden korter, platter of vertonen kleine barstjes.
Gevoeligheid: Je tanden reageren ineens heftig op koud of warm (omdat het glazuur dunner wordt).
Kaakklachten: Een krakend geluid bij het openen van je mond of pijn bij het kauwen.
Spanning: Een "beurs" gevoel in je gezicht of uitstralende pijn naar je oren en nek.

Wat kunnen we eraan doen?
Het probleem is vaak een combinatie van stress en een automatische gewoonte. Hoewel we de stress niet altijd voor je kunnen wegnemen, kunnen we je gebit wél beschermen.
Oplossing | Hoe werkt het? |
De Opbeetplaat (Bitje) | Een op maat gemaakt, transparant bitje voor de nacht. Het vangt de krachten op zodat je tanden elkaar niet raken. |
Bewustwording | Overdag leren je kaken te ontspannen (lippen op elkaar, tanden van elkaar). |
Fysiotherapie | Speciale kaakfysio kan helpen om de overbelaste spieren weer soepel te krijgen. (Tip: Teurlings Roosendaal) |
Wist je dat? Knarsen is vaak een geluid van "tanden over elkaar schuren", terwijl klemmen juist het krachtig op elkaar drukken is. Beide zijn even schadelijk, maar een knarsbitje is de meest effectieve "airbag" voor je glimlach.


Voorkom dat je tanden "op" raken
Tandglazuur groeit helaas niet terug. Als het eenmaal weg is door knarsen, komt het niet meer terug. Door op tijd in te grijpen met een beschermend bitje, bespaar je jezelf een hoop pijn en dure restauraties in de toekomst.
Heb je het vermoeden dat jij een knarser bent? Laat ons tijdens je volgende controle even naar de slijtagepatronen kijken. Dan weten we binnen een minuut of een beschermbitje voor jou een slimme investering is!
Klemmen & Knarsen: Als je gebit een boksbal wordt
Word je weleens wakker met een strak, vermoeid gevoel in je kaken? Heb je vaak hoofdpijn bij je slapen, nekpijn of merkt je partner dat je ’s nachts kabaal maakt met je tanden? Dan is de kans groot dat je aan het knarsen (bruxisme) of klemmen bent.
Je kaken behoren tot de sterkste spieren in je lichaam. Als die spieren 's nachts – of tijdens een stressvolle dag – de vrije loop krijgen, komt er een enorme kracht op je gebit te staan. Je tanden fungeren dan als een boksbal die de klappen moet opvangen.

De symptomen: Hoe herken je het?
Vaak heb je het zelf niet door totdat de schade zichtbaar wordt. Let op de volgende signalen:
Slijtage: Je tanden worden korter, platter of vertonen kleine barstjes.
Gevoeligheid: Je tanden reageren ineens heftig op koud of warm (omdat het glazuur dunner wordt).
Kaakklachten: Een krakend geluid bij het openen van je mond of pijn bij het kauwen.
Spanning: Een "beurs" gevoel in je gezicht of uitstralende pijn naar je oren en nek.

Wat kunnen we eraan doen?
Het probleem is vaak een combinatie van stress en een automatische gewoonte. Hoewel we de stress niet altijd voor je kunnen wegnemen, kunnen we je gebit wél beschermen.
Oplossing | Hoe werkt het? |
De Opbeetplaat (Bitje) | Een op maat gemaakt, transparant bitje voor de nacht. Het vangt de krachten op zodat je tanden elkaar niet raken. |
Bewustwording | Overdag leren je kaken te ontspannen (lippen op elkaar, tanden van elkaar). |
Fysiotherapie | Speciale kaakfysio kan helpen om de overbelaste spieren weer soepel te krijgen. (Tip: Teurlings Roosendaal) |
Wist je dat? Knarsen is vaak een geluid van "tanden over elkaar schuren", terwijl klemmen juist het krachtig op elkaar drukken is. Beide zijn even schadelijk, maar een knarsbitje is de meest effectieve "airbag" voor je glimlach.

Voorkom dat je tanden "op" raken
Tandglazuur groeit helaas niet terug. Als het eenmaal weg is door knarsen, komt het niet meer terug. Door op tijd in te grijpen met een beschermend bitje, bespaar je jezelf een hoop pijn en dure restauraties in de toekomst.
Heb je het vermoeden dat jij een knarser bent? Laat ons tijdens je volgende controle even naar de slijtagepatronen kijken. Dan weten we binnen een minuut of een beschermbitje voor jou een slimme investering is!
Onze diensten
