Wat is?
Aligners (orthodontie)
Dit betreft een ondoorzichtige beugel (Airsmile), waarmee u uw tanden en kiezen kunt laten rechtzetten.
Drumschiene
Dit spalkje wordt meestal gedragen door mensen die klemmen in hun slaap.
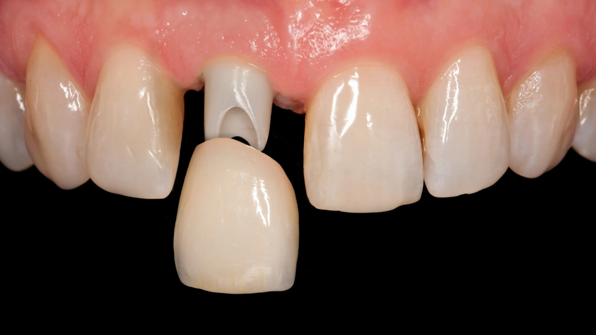
Essix met tand
Tijdelijk, voor vervanging van een missende tand bij implantologie (wachten op ingroei). Het houdt ook de opening voldoende open voor de te plaatsen kroon.
Frameprothese
Een prothese met metalen klammers om ontbrekende tanden/kiezen te vervangen. Is dun, maar de klammers zijn wel wat minder fraai. Tegenovergestelde van een partiële kunststofprothese.
Gebitsbeschermer
Een gebitsbeschermer is verstandig als je bij het sporten een verdwaalde arm of bal tegen je gebit kan krijgen. Tandverlies geeft niet alleen een hoop ellende, ook hele hoge kosten.
Implantaat
Kronen & bruggen
Wanneer normale vullingen niet meer kunnen of esthetiek/stevigheid belangrijk is, kunnen kronen worden geplaatst op de eigen tanden/kiezen.
Partieel gebit
Tijdelijk of permanent ter vervanging van ontbrekende tanden/kiezen. Tegenovergestelde van een frame prothese.
Retainers
Om de tanden na het beugelen op de juiste plaats te houden. Direct, maar ook jaren na het beugelen.
Volledige prothese
Ter vervanging van een complete kaak.
Whitesplint
De whitesplint van Excent is uitstekend geschikt voor nagelbijters/knarsers.
Zoom bleekset
Een bleekset om veilig het gebit witter te maken.

































