Casus - Het Immediate Implantaat
Het probleem
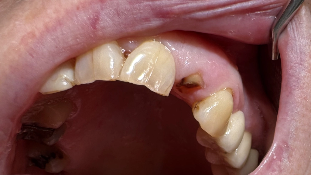
Je zit een lekker broodje te eten en die zwaar gevulde voortand breekt af, geen leuk zicht! Helaas is er te weinig tandmateriaal voor een kroon... Je staat nog midden in het leven: de levensduur van een brug (15 jaar gemiddeld) vind je terecht te kort. Daarnaast worden de (bijna) gave buurtanden bij een brug beschadigd: er moeten immers kronen op. Daarvoor wordt 1-1.5mm van je kostbare glazuur weggeboord. Een uitneembaar plaatje is goedkoper, maar hierdoor wordt je verhemelte bedekt. Eten smaakt minder en dat losse verhemelte? Nee.

Het implantaat
Gelukkig is er een oplossing: een kunstwortel of implantaat. Als tandartsen gebruiken we ze al langer dan 30 jaar en de resultaten zijn over het algemeen verbluffend goed. Een levensduur van gemiddeld +20 jaar, weinig mechanische problemen zoals breuk, onafhankelijk van buurtanden. Helaas zijn er ook nadelen: ze zijn duur en normaliter moet je maanden wachten op je nieuwe kies, want het implantaat moet ingroeien.
Ten aanzien van de kosten: gemiddeld 2.500 euro, slik... het goede nieuws is dat de eerste helft van dit bedrag moet worden betaald na de ingreep, het tweede deel pas bij het plaatsen van de kroon. Als je dit een beetje handig inplant, zou je de pijn kunnen verdelen over 2 verzekeringsjaren. Gelukkig ben je er na plaatsing wel weer een hele lange tijd vanaf, 20-25 jaar moet normaal gesproken haalbaar zijn.
Voorbereidingen
Om de chirurgie zo kort mogelijk te houden hebben we wel een lange voorbereiding nodig. Eerst kijken we of je wel in aanmerking komt voor een implantaat: de gezondheidsvragenlijst wordt nog eens doorgenomen, je mag geen actieve parodontitis hebben en je mag niet roken. We moeten wel streng zijn, want roken en implanteren gaat helaas niet samen.
We maken een CT scan van je gebit, een gebitsscan met een soort cameraatje en dan gaat Hurx aan de slag: buiten de mond. In een simulatieprogramma maken we een waxup model, een fictieve planning implantaat en als alles meezit een guide. Een waxup model is een inschatting hoe de nieuwe tand eruit moet komen te zien, we kunnen de implantaatpositie daarop aanpassen.

Hier zie je hoe we de symmetrische tand gebruikt hebben als model. De uiteindelijke vorm wordt door de tandtechnieker ontworpen als de kunstwortel daar aan toe is.
Voor de fictieve planning hebben we eerst de huidige situatie nodig:

Dan wordt digitaal de tand getrokken:

De röntgenbeelden worden met dit model en de waxup samengevoegd: de positie, implantaatlengte en -breedte worden bepaald:


Daarna wordt een zogenaamde guide ontworpen. Dit is een malletje die tijdens het implanteren exact passend over het gebit geschoven wordt, net als een beugel. In dat malletje is de exacte richting en diepte bepaald. Wij beschikken over een professionele, nauwkeurige 3D printer: het ontwerp wordt werkelijkheid.

Het immediate implantaat
Wat is nu een immediate implantaat? Een implantaat die wordt geplaatst en meteen wordt voorzien van een tijdelijke kroon. Eigenlijk alleen voor voortanden: de buitenwereld ziet weer iets dat op een tand lijkt en je hebt geen tijdelijk plaatje nodig. De tand mag de eerste 6 weken niet worden gebruikt, het is alleen een tand om naar te kijken. Geen trekdrop dus of afbijten van een appel.
De implanteerafspraak
De tandarts verdooft je tandvlees en haalt heel voorzichtig de oude wortel weg. Normaal gesproken zonder boren of snijden. De wond wordt goed schoongemaakt. Het wondje oogt een beetje als een neusgat met een neusbloeding. Al heel snel klontert het weer samen.
De guide wordt op z'n plaats gezet en het zogenaamde extractiegat wordt een beetje verdiept en gecorrigeerd: een kunstwortel kan je immers niet vastzetten in het luchtledige, de houvast was al gevonden in de simulatie, de simulatie wordt nu exact gevolgd.
Het implantaat wordt op z'n plaats geschroefd en de positie nauwkeurig gecontroleerd. Soms moet een beetje (kunst)bot uit een potje worden toegevoegd.
Afhankelijk van enkele parameters wordt door de tandarts bepaald of de houvast betrouwbaar is, dit kunnen we helaas niet 100% tevoren inschatten. Een tijdelijk meetpuntje wordt in het implantaat gedraaid (absoluut pijnloos) en met een speciaal apparaatje wordt de stabiliteit gemeten. Ook hiervan voel je werkelijk niks.

Als de stabiliteit okay is gaan we verder met de tijdelijke kroon. Indien het toch niet meteen goed genoeg is, wordt een heelkapje gebruikt en een tijdelijk plaatje.
De noodkroon
De tandarts plaatst een tijdelijk abutment:
We hebben reeds een kapje voorbereid voor de vorm, het kapje wordt vastgezet aan de witte stift en afgewerkt/gepolijst:

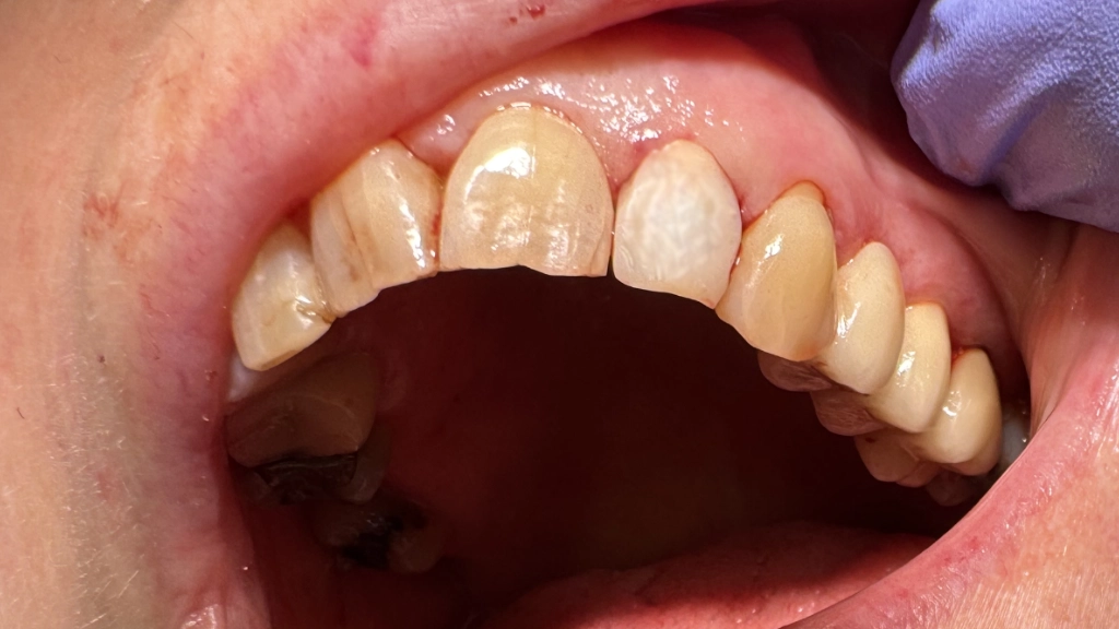
Van dichtbij oogt zo'n noodkroon niet erg fraai, onthoud dat het een stukje plastic is. Op gespreksafstand oogt de tand wel normaal en eerlijk gezegd toch wat netter dan zo'n missende tand!
De röntgenfoto laat een mooie positie zien. (Op de foto lijkt deze niet precies in het midden te staan, maar dit is absoluut vertekening door de inzetrichting van de röntgenbuis). Aan weerszijden van het implantaat is de tandkas van de oude wortel goed zichtbaar. De tijdelijke stift is niet zichtbaar op röntgenfoto's.

En nu?
Nu wordt een aantal maanden gewacht. In de tussentijd meet de tandarts de stabilisatiewaarde opnieuw, als deze voldoende hoog is kan de definitieve kroon worden geplaatst. Ook wordt zo'n klein röntgenfotootje herhaald om de aanhechting extra te checken.
Wat kan ik aan pijn en ongemakken verwachten?
De meeste mensen melden de eerste dag een beetje druk in de kaak, de pijn valt over het algemeen erg mee.
